
M.S. Student @ Yonsei University
Seoul, South Korea
I am currently pursuing my M.S.at the MICV Lab advised by professor Seong Jae Hwang. I'm interested in addressing fundamental challenges in medical imaging through deep learning, with the goal of enhancing the efficiency and accuracy of clinical workflows. My research interests include image registration, domain generalization, and weakly supervised segmentation.
Mar. 2025 – Present
M.S. in Artificial Intelligence
Medical Imaging & Computer Vision Lab (MICV) | Advisor: Prof. Seong Jae Hwang
Mar. 2021 – Feb. 2025
B.S. in Computer Science and Engineering
Mar. 2023 – Aug. 2025
Medical AI Researcher
I have developed medical imaging solutions focused on PET and MRI analysis, including dose/time reduction for brain PET and AI-guided prostate lesion detection. I also contributed to automated diagnostic report generation and the regulatory approval of medical software devices (K-FDA).
[2025.09] MICCAI band debuted at the MICCAI 2025 Gala dinner! I performed as the singer😎. (More)
[2025.09] One paper accepted to Alzheimer's Research & Therapy!🎉
[2025.07] "GAN-based Denoising for Scan Time Reduction and Motion Correction of 18F FP-CIT PET/CT: A Multicenter External Validation Study" was accepted to Clinical Nuclear Medicine (Impact Factor=10.0)!🎉
[2025.06] "Mono-Modalizing Extremely Heterogeneous Multi-Modal Medical Image Registration" was accepted to MICCAI 2025!🎉
[2025.03] I joined the MICV lab!
[2023.03] I joined NewCureM as the AI/SW R&D Team researcher!
Minjae So, Seungbeom Seo, Dongwoo Kim, Sangwon Lee, Hyunkeong Lim, Yeo Jun Yoon, Daesung Kim, Hyunkyung Han, Youngjun Jun, Seongjin Kang, Hyo Jung Seo, Tae Joo Jeon, Sangwoo Cho, Hee Joo Yoon, Young-gun Lee, Mijin Yun*
Neurology
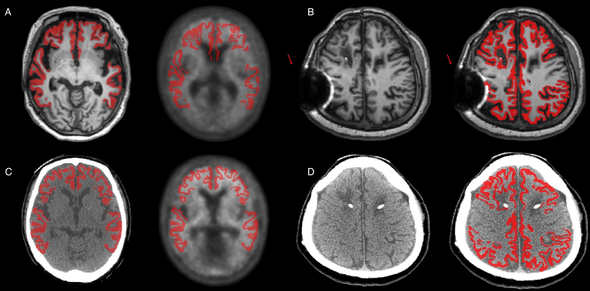
Yeo Jun Yoon, Seungbeom Seo, Sangwon Lee, Hyunkeong Lim, Kyobin Choo, Daesung Kim, Hyunkyung Han, Minjae So, Hosung Kang, Seongjin Kang, Dongwoo Kim, Young-gun Lee, Dongho Shin, Tae Joo Jeon, Mijin Yun*
Alzheimer's Research & Therapy
Hyunkyung Han, Kyobin Choo, Tae Joo Jeon, Sangwon Lee, Seungbeom Seo, Dongwoo Kim, Sun Jung Kim*, Suk Hyun Lee*, Mijin Yun*
Clinical Nuclear Medicine
Seungbeom Seo¹, Yeo Jun Yoon¹, Sangwon Lee, Hyunkeong Lim, Kyobin Choo, Daesung Kim, Hyunkyung Han, Seongjin Kang, Jaekyung Park, Phil Hyu Lee, Dongwoo Kim*, Mijin Yun*
European Journal of Nuclear Medicine and Molecular Imaging
For collaboration, reviewing, or talks, please reach out via hhk@yonsei.ac.kr